Brackets invisibles
El secreto de tu sonrisa gracias a los brackets invisibles.
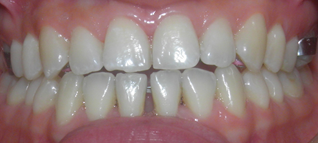
Es un tipo de ortodoncia en donde los brackets se colocan en la cara interna de los dientes. De esta manera, resulta invisible desde el exterior.
Es una técnica eficaz, con la ventaja estética en comparación con la ortodoncia convencional donde los brackets dentales son colocados en la cara externa de los dientes.
Ventajas de la ortodoncia invisible:
1.- Máxima estética.
2.- Mayor higiene.
3.- Confort para el paciente.
4.- No interfiere en tus relaciones sociales.





Comentarios
Publicar un comentario